最新文章
-
警察行业比较厉害的六所警校,毕业后都是铁饭碗
警察行业比较厉害的六所警校,毕业后都是铁饭碗 在我们从小到大的观念中,警察都是一个无私而神圣的职业,要是你问一个中国小孩长大后想干什么,百分之八十的孩子都会回答想当...
-
春节桂林旅游攻略来咯,桂林必打卡景点,带你玩转山水甲天下!
春节桂林旅游攻略来咯,桂林必打卡景点,带你玩转山水甲天下! 春节是桂林旅游的最佳时节,这座城市以其独特的喀斯特地貌和秀美的山水风光被誉为“山水甲天下”。本文将为您推...
-
不同版本的小昭对比,有的让人念念不忘,有的让人无言以对
不同版本的小昭对比,有的让人念念不忘,有的让人无言以对 金庸没人不知道吧,他写过的书,拍的电视剧都知道吧。 而他笔下的女主更是数不胜数,而金庸自己却说,他最喜欢的一...
-
保定市长城学校五尧校区项目主体喜迎封顶
保定市长城学校五尧校区项目主体喜迎封顶 2021年5月28日, 随着现场混凝土浇筑到位, 保定市长城学校—五尧校区项目, 迎来主体结构封顶, 提前完成节点目标! 莲池区区委书记刘晓...
-
百年灵几种不同的LOGO,谁更具有代表性?
百年灵几种不同的LOGO,谁更具有代表性? [腕表之家 钟表文化]随着2022百年灵新品航空计时腕表的发布,不少细心的表友注意到产品的LOGO回归了经典的AOPA标志。纵观百年灵近年的产品...
-
重磅‖中国旅游日,唐家河风景区免门票啦,约?
重磅‖中国旅游日,唐家河风景区免门票啦,约? 亲,你知道中国旅游日吗? 不知道不要紧! 反正这天,景区免费! 话不多说, 上干货!↓ 5月19日“中国旅游日”是中国国务院于2011年批准的...
-
中国军服史上,对比65式,55式军服更为经典
中国军服史上,对比65式,55式军服更为经典 大家好,我是图哥图说,创作不易,欢迎大家点点上面关注,有您的支持,就是我最大的创作动力! 中国军服近代史上, 55式军服作为新中...
-
涨姿势啦啦啦~“端不掉”的金三角
涨姿势啦啦啦~“端不掉”的金三角 基本上很多国家都在国内颁布了禁毒法令,并且国际上对禁毒问题也非常看重。而金三角产毒在世界上都很有名气,在这样的一个大背景下,为何没...
-
在两性关系中,大多数女性害怕五十多岁的男性,原因无非是这几点
在两性关系中,大多数女性害怕五十多岁的男性,原因无非是这几点 在一个充满故事的小镇上,李梅的生活平静而有序。她是一位中学历史老师,以她对过往的深刻理解闻名于学生之间...
-
一组画面宏伟的科幻题材插画作品欣赏!有很多脑洞大开的创意设计
一组画面宏伟的科幻题材插画作品欣赏!有很多脑洞大开的创意设计 这组画面壮丽,给人很强视觉震撼力的科幻插画作品是小编整理的来自世界各地科幻高手作品,高质量的插画作品,...
-
锡膏生产中锡粉的作用千万要重视
锡膏生产中锡粉的作用千万要重视 锡粉是制造生产锡膏最为主要的原料之一,在空气中稳定,前提是要保存好,一旦保存不当锡粉就容易氧化,特别是在潮湿空气中更易氧化。是电子工...
-
文艺复兴设计:重启古典、重塑人文
文艺复兴设计:重启古典、重塑人文 文艺复兴设计是14世纪到16世纪在欧洲流行的一种设计风格。它起源于意大利,并迅速传播到欧洲各地。文艺复兴设计的特点是复兴古希腊和罗马的...
-
舔屏时间丨初恋女孩——沈月
舔屏时间丨初恋女孩——沈月 沈月,1997年2月27日出生于湖南邵阳,中国内地女演员。 2014年,沈月以广播电视编导专业全省第一名的成绩考入湖南师范大学新闻与传播学院。 大一刚入...
-
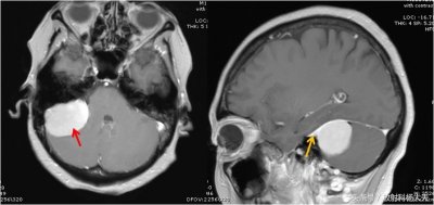
千变万化的影像征象系列(4):脑膜尾征
千变万化的影像征象系列(4):脑膜尾征 医学影像,就是医生靠分析片子上(包括X线,CT,MRI及PETCT等) 的各种表现(征象),结合病人的临床表现,化验检查等来进行推理,推测病...
-
品牌服装分销渠道有哪些?
品牌服装分销渠道有哪些? 服装分销渠道有很多,品牌服装更是要做好服装分销渠道的选择,每种分销渠道都有自己的独特之处,关键是找到适合自己服装品牌的方式,接下来,衣联网...
-
来自宇宙深处的星辰大海,这5张照片刷爆朋友圈
来自宇宙深处的星辰大海,这5张照片刷爆朋友圈 The Southern Ring shows a planetary nebula caused by a dying star. /NASA/Reuters 当地时间7月12日,美国国家航空航天局(NASA)发布詹姆斯·韦伯空间望远...
-
广州民航职业技术学院,性价比最高的民航院校,没有之一!
广州民航职业技术学院,性价比最高的民航院校,没有之一! 说广航院是性价比最高的民航院校,你民航大学,中飞院不要不服。 虽然说我们只是专科,但是毕业了我们一样能够去修...
-
法院一审民事案件开庭全流程简略版——酱酱教你打官司
法院一审民事案件开庭全流程简略版——酱酱教你打官司 关于开庭流程,酱酱先给大家一个简略的流程,后面逐一分解写文详述。 首先按照开庭传票上载明的时间,地点,到法院的相...
-
当博士延毕成为常态,博士学制四年到底够不够,应不应该延长?
当博士延毕成为常态,博士学制四年到底够不够,应不应该延长? 关于博士的学制到底几年,我国高等教育基本制度规定: 博士研究生教育的基本修业年限为3―4年。高等学校根据实际...
-
曾舜晞:《莲花楼》出圈的深圳富二代,阔绰生活吸引众人瞩目!
曾舜晞:《莲花楼》出圈的深圳富二代,阔绰生活吸引众人瞩目! 大家好,我是头条号编辑,今天给大家带来了一篇关于曾舜晞的头条号推文。这位深圳富二代凭借《莲花楼》一夜爆红...
-
「即看视频」历时5年!合肥市三院门诊医技综合楼正式启用
「即看视频」历时5年!合肥市三院门诊医技综合楼正式启用 视频加载中... 合肥在线讯(记者 李静 摄影 胡珺)11月19日,历时5年建设的合肥市三院门诊医技综合楼正式启用,据了解,...
-
杨颖,这个性感的样子太顶了,就是可惜了!
杨颖,这个性感的样子太顶了,就是可惜了! 杨颖,这个性感的样子太顶了,就是可惜了! 提及杨颖,脑海中便自然而然地浮现出她那清新脱俗的容颜与性感的身姿。她以出众的颜值...
-
茹萍六个代表角色,上官婉儿最漂亮,苏麻喇姑最经典
茹萍六个代表角色,上官婉儿最漂亮,苏麻喇姑最经典 在浩瀚的影视长河中,总有一些演员以其独特的魅力和精湛的演技,塑造出一个个深入人心的角色,成为观众心中永恒的记忆。茹...
-
清末东北悍匪与军阀的传奇纠葛:杜立三与张作霖
清末东北悍匪与军阀的传奇纠葛:杜立三与张作霖 清朝末年,华夏大地陷入极度的混乱,社会秩序崩塌,各路豪杰并起,其中不乏草莽出身之人在乱世中搅动风云。时光流转至民国,军...
-
南阳机场的最佳位置为什么在东而不在西
南阳机场的最佳位置为什么在东而不在西 南阳机场迁建至唐河,这是南阳总体规划的科学考量,已成定局,毋庸置疑。但是近日,有部分西部网友,还是认为机场搬到东部唐河,对西三...
-
花了十万块上了培训班,结果却是……你绝对想不到的教育骗局
花了十万块上了培训班,结果却是……你绝对想不到的教育骗局 在这个信息爆炸的时代,教育培训行业如雨后春笋般蓬勃发展。无论是职业技能提升、语言学习,还是个人发展,似乎都...
-
90分钟失绝杀!U19国足无缘2连胜,仍力压澳大利亚领跑,冲冠军
90分钟失绝杀!U19国足无缘2连胜,仍力压澳大利亚领跑,冲冠军 关注我,开启你的幸福之旅!点赞评论,让好运与你常相伴!祝您万事如意! 熊猫杯,再次上线,五年一轮回。这回,...
-
走近798,感受别样的艺术风情
走近798,感受别样的艺术风情 798这个数字在我脑海在早就如雷贯耳,一直希望实地感受一下。终于有了赴京出差的机会,走近了798,有了身临其境的感受,体会了别样的艺术风情。 7...
-
中超首支降级队诞生!曾在本赛季斩杀恒大,依旧难逃二年级魔咒
中超首支降级队诞生!曾在本赛季斩杀恒大,依旧难逃二年级魔咒 北京人和与江苏苏宁本轮的较量,对于人和来说是不容有失的关键比赛。因为人和要是拿不下江苏苏宁,球队就将成为...
-
生活中如何礼貌问年龄?还在用“How old are you”小心闹笑话
生活中如何礼貌问年龄?还在用“How old are you”小心闹笑话 “How old are you?”我们学英语首先接触的就是这句话可谓是想忘也忘不了。然而在现实生活中,当老外对你说这句话的时候可...
-
青岛旅行必打卡景点推荐!错过这些,等于没来过青岛!
青岛旅行必打卡景点推荐!错过这些,等于没来过青岛! 青岛,这座位于中国山东省的海滨城市,以其独特的“红瓦绿树,碧海蓝天”闻名,是一处融合了山、海、城、湾等多种自然景...
-
看完阿娇出道时的照片,终于明白为什么当年陈冠希对她一见钟情了
看完阿娇出道时的照片,终于明白为什么当年陈冠希对她一见钟情了 看完阿娇出道时的照片,终究清楚为何昔时陈冠希对她一见如故了 钟欣桐(阿娇)在念书时代就曾经首先的确做模...
-
华为多款新机突然开卖,后悔Mate70 Pro买早了!
华为多款新机突然开卖,后悔Mate70 Pro买早了! 华为多款新机突然开卖,后悔Mate70 Pro买早了! 华为手机,总是喜欢给大家带来惊喜。在1月21日,华为Pura 70 Ultra新配色到来,就是瑞红和...
-
虎牙“户外一哥”再次易主,在石成为过去式,他获得平台官方宠幸
虎牙“户外一哥”再次易主,在石成为过去式,他获得平台官方宠幸 前言:就在8月份,素有虎牙户外一哥之称的在石250突然宣布退网,看得吃瓜群众一脸懵。就在这件事还众说纷纭的...
-
2024湖北省二本大学排名及最低录取分数线一览
2024湖北省二本大学排名及最低录取分数线一览 为了帮助湖北省的考生更好地选择大学,本文将介绍2024年湖北省排名前十的二本大学及其高考录取分数线。让我们一起了解一下哪些二本...
-
五点对比国足完败伊朗,这球还能赢吗?
五点对比国足完败伊朗,这球还能赢吗? 北京时间2017年3月28日20时,国足将客场挑战伊朗,相信各位球迷都非常清楚,国足接下来的每一场比赛都不容有失,那么国足和伊朗的实力对比...
-
“游客半夜求助,局长开门:来我家!网友吵翻:作秀还是真宠?”
“游客半夜求助,局长开门:来我家!网友吵翻:作秀还是真宠?” 正文: 这个五一假期,湖北宣恩县火了!不是因为风景,而是因为一位文旅局长的“神操作”——让没订到房的游...
-
有没有出息?大学生本科毕业后去做超市收银员,背后原因令人深思
有没有出息?大学生本科毕业后去做超市收银员,背后原因令人深思 在当前社会的大背景下,教育被视作通往成功的不二法门。每年,数以百万计的学生涌入各大高等教育机构,带着对...
-
现代冷战思维是否重新兴起?
现代冷战思维是否重新兴起? 在当今世界,随着全球政治形势的变动,一些人士开始担忧现代冷战思维是否正在重新兴起。那么,这种担忧是否有所依据呢?本文将从国际政治环境的角...
-
西塘古镇门票免票政策,8类人员享受免费入园
西塘古镇门票免票政策,8类人员享受免费入园 在阅读此文之前,麻烦您点击一下“关注”,方便您进行讨论和分享,还可以给您带来不一样的参与感,谢谢您的支持。 西塘古镇是一处...
-
他从富二代变成穷小子,一次逃亡让他成为台湾资深出版人
他从富二代变成穷小子,一次逃亡让他成为台湾资深出版人 他是家里独子,父亲在上海经商,住在上海南市的一栋两层的小洋楼里。家境比较殷实,然而在他上小学五年级的时候,他的...
-
人生低谷时,如何化蛹成蝶?负债博主教你逆袭财富密码!
人生低谷时,如何化蛹成蝶?负债博主教你逆袭财富密码! 人生总会遇到低谷期,如何在困境中崛起,成为更好的自己?资深负债博主为你揭秘逆袭财富密码,让你在人生低谷时,也能...
-
你知道吗?原来全世界上方块字种类有这么多
你知道吗?原来全世界上方块字种类有这么多 就好像欧洲人各国很多都使用拼音文字一样,很多汉文化圈的国家或者民族也像中国一样使用了方块字。 西夏 西夏文 西夏文又名河西字、...
-
利好临安!杭州医学院拟更名“医科大学”!
利好临安!杭州医学院拟更名“医科大学”! 拥有临安、黄龙、滨江、青山湖四个校区的杭州医学院,到2025年6月,就要迎来百年校庆了。 经常逃课的大学生都知道,百年校庆,除了逛...
-
尽管他跪着,却被人民日报评为“跪着的巨人、最美的拾荒者”
尽管他跪着,却被人民日报评为“跪着的巨人、最美的拾荒者” 尽管他跪着,却被人民日报评为“跪着的巨人、最美的拾荒者”宁夏,小女孩家里贫困,受到好心人的资助才能读书上学...
-
多款博大精深的汉字logo设计分享
多款博大精深的汉字logo设计分享 朴琢品牌设计研究室 整理编辑观点 POOZHUO 转载请注明出处 欢迎留言讨论观点及转发 中式汉字设计、中式标志、东方美学设计、汉字图形 中国文字是由...
-
UZI巅峰期有多恐怖?1张“5数据封神图”火了,笑笑:他是照妖镜
UZI巅峰期有多恐怖?1张“5数据封神图”火了,笑笑:他是照妖镜 前言:说起UZI这位选手,LOL玩家对他的看法应该会褒贬不一,但是有一点是绝对肯定的,那就是UZI的实力非常强,哪怕...
-
Tara圣公会私立女子学校:精英教育的摇篮,培养未来女性领袖!
Tara圣公会私立女子学校:精英教育的摇篮,培养未来女性领袖! Tara Anglican School for Girls ,一所成立于 1897 年的圣公会私立女子学校,坐落于悉尼西北部,占地 12 公顷的美丽园地与花园...
-
“异性拼床”卷土重来 不能让“互联网+拉皮条”泛滥成灾
“异性拼床”卷土重来 不能让“互联网+拉皮条”泛滥成灾 近日,有媒体曝光,曾经涉嫌低俗的“同住拼房”换了个马甲重出江湖。 今年1月,“同住拼房”产品“酒店床位共享”小程...
-
中缅互译系统开发者回应“DeepSeek攻克缅甸救灾语言关”:比起救援的艰辛,
中缅互译系统开发者回应“DeepSeek攻克缅甸救灾语言关”:比起救援的艰辛, 我做的工作很小 3月28日,缅甸发生7.9级地震,造成重大人员伤亡。地震发生后,缅甸政府向国际社会发出援...

















































