千变万化的影像征象系列(4):脑膜尾征
千变万化的影像征象系列(4):脑膜尾征
医学影像,就是医生靠分析片子上(包括X线,CT,MRI及PETCT等) 的各种表现(征象),结合病人的临床表现,化验检查等来进行推理,推测病人所患疾病的最大可能是什么。影像表现千变万化,医生为了能更好的记住这些不同的表现,经常会给这些征象起一些好听好记的名字。
今天说说头部的一个很有意思的征象“脑膜尾征”。
头部的肿瘤,根据其起源不同可分为脑内和脑外。脑内的肿瘤,有良性有恶性,恶性的比较多,比如胶质瘤。而脑外的肿瘤,生长在脑表面,多数是良性的,比如脑膜瘤。所以放射科在头部CT或MR时的第一件事是看这个肿瘤是脑内还是脑外的。在分析病变的形态,信号特点、强化方式后,还有一个很重要的提示脑外肿瘤的征象,就是脑膜尾征,顾名思义,就像是长在脑膜上的小尾巴。

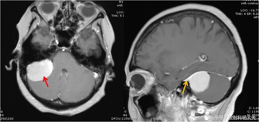
左图为轴位图像,显示强化的脑膜瘤。右图为矢状位,黄箭所示为脑膜尾征。

但有一点请大家注意,这个征象一定要考增强扫描才能看到,如下图,为本例的平扫图像,是无法准确观察脑膜尾征的。

脑膜是覆盖在脑表面的一层膜,脑膜瘤就是生长在这个膜上的,但同时又会向脑内生长,压迫脑组织。可能大家会奇怪,为何一定要向脑内长,不向外长呢,因为脑膜外面是很硬的颅骨,所以大部分的脑膜瘤欺软怕硬,向里面生长,当然也有比较轴的,选择向外生长,甚至可以引起颅骨的压迫吸收,可谓脑膜瘤中的战斗机!但多数脑膜瘤都是良性的。
无论向内还是向外生长的脑膜瘤,都牵扯到跟其他病变鉴别的问题。其中的脑膜尾征是一个很重要的鉴别点。
当然,脑膜尾征并不是瘤子真的长了一个可以平衡身体或拿来耀武扬威的尾巴,也不是有个跟屁虫紧紧跟着他。到底是什么?有研究者对MRI上观察到的脑膜尾征进行过组织病理学研究,发现82.2%有脑膜瘤细胞的浸润,光镜下可见多个成团状或巢状肿瘤细胞聚集在纤维结缔组织中; 6.7%光镜下仅见大量的结缔组织反应性增生,未见肿瘤细胞;11.1%光镜下可见大量红细胞及增生的血管和炎症细胞浸润,未见肿瘤细胞。脑膜尾征中有无肿瘤细胞浸润与瘤周水肿和脑膜瘤的良恶性分级相关,而与脑膜瘤本身的大小和脑膜尾征的形态无相关性。
但一定要注意,有“脑膜尾征”的不一定是脑膜瘤,还有可能是很多其他的疾病,比如淋巴瘤、转移瘤、原始神经外胚层肿瘤、感染性脑膜炎、嗜酸性肉芽肿、Wegener肉芽肿等等,很多脑内或脑外起源的病变,因此在分析病变的时候要综合分析。有时候,放射科大夫很努力,但sometimes it hurts instead,敌人太狡猾。因此,术前综合影像诊断率绝不可能100%。
意外发现脑膜瘤,怎么办呢?是不是要立刻手术?这个要根据脑膜瘤的大小、位置、生长速度,以及是否合并脑水肿,是否出现症状来综合判断。有的肿瘤比较小,或者生长在脑组织深部,就需要衡量手术的风险。如果手术风险比较大,还不如暂时观察,维持现状。
而有些脑膜瘤就算等了十年,二十几年,只要不生长,也没有引起任何不适,可以继续等下去,但一定要记着随访观察。
标签:
