矫正牙齿,真的会改变脸型吗?附真人案例
矫正牙齿,真的会改变脸型吗?附真人案例
矫正牙齿绝对是改变人生的转折。有些人矫正牙齿后提升了颜值;但也有些朋友表示,自己矫正牙齿后,脸型变化并不高。

那么,同样是矫牙,怎么效果还不一样呢?
矫牙的作用是什么?
俗话说"齿白三分俏,貌美牙为先",一口洁白整齐的牙齿对颜值和个人自信心的提升是不可估量的。

牙齿矫正的作用不仅仅是变好看,更多的是对口腔健康的巨大影响。
整齐排列的牙齿更利于清洁,可以预防龋齿和牙周病;矫正后可获得的理想的咬合关系,还可提高咀嚼功能及保护面部颞颌关节等等。

完美的矫正是健康,功能,美观和长期稳定的和谐统一。
矫牙的效果堪比整容吗?
当牙齿畸形,发生龅牙、牙列稀疏、牙齿歪斜等情况,为了口腔健康都是有必要进行矫牙的。

对于成年人来说,正畸治疗主要是移动牙齿。
当前牙位置发生改变时,嘴唇的前后向位置和唇齿关系也相应改变,这样就会带来鼻子以下或者面下1/3部分的容貌变化。
下面就给大家分享一个通过正畸治疗而得到改善的案例:
牙齿矫正案例
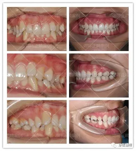
牙齿不齐-露龈笑
患者主诉:牙不齐,露牙龈笑,侧脸看的时候显脸长。
临床检查:发现上下颌II度拥挤,虎牙外翘致前牙不齐。同时咬合很深,属于III度深覆合,这也是导致她露龈笑的主要原因。
但因为患者本身面型不错,所以在内收虎牙、排齐牙齿、改善深覆合时,对面型不应做过多改变,这也增加了正畸中对于牙根的控制要求。
方案设计:选择了隐适美隐形矫正,通过Clincheck设计增加了对牙根的控制,实现牙齿的每一步精准移动。
目前矫治结束,患者露龈笑解除,覆颌覆盖、牙弓形态都恢复正常。上唇内收,颏部前伸,侧面型内收后也更协调了。

正畸前后效果对比


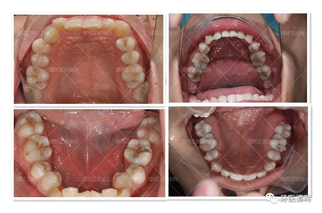
口内照前后效果对比


标签:
