12年女孩吃了一碗麻辣烫后,竟被下达病危通知,父母为其准备寿衣
12年女孩吃了一碗麻辣烫后,竟被下达病危通知,父母为其准备寿衣

文|烟台纪实
编辑|烟台纪实
2012年,来自吉林的20岁女孩于悦吃完一碗麻辣烫后便高烧不退,腹痛腹泻,甚至出现了便血不止的情况,被送往医院后医生直接下达了病危通知。
区区一碗麻辣烫竟能要人命?这背后究竟发生了什么?

致命的晚餐
2012年,于悦在长春的一家幼儿园当实习老师,一天晚上她和一起去实习的同学选择去一家麻辣烫店聚餐。
麻辣烫端来后,她们发现这家店的麻辣烫特别辣,辣得简直下不去口,其他同学尝了尝就被辣得放下了筷子。

于悦是个无辣不欢的女孩,她觉得不就是有点辣了嘛,自己平时也挺能吃辣的,何况这饭都端上来了,钱也付过了,不把它给吃完的话未免有点太浪费了。
于是,于悦端起碗大快朵颐,把一碗麻辣烫全都吃光了。
吃完饭后于悦和同学到了步行街逛街,不一会儿,她便感到身体有点不舒服,肚子开始胀痛。

当天晚上十一点左右,于悦开始出现呕吐、发烧的状况,一起住的同学赶紧把她送到了医院,医生初步确诊为急性肠胃炎,开了些药让她回去吃完药好好歇息。
没有想到,吃完药后的于悦病情并没有得到好转,第二天甚至出现了便血的情况。

这可把于悦给吓坏了,她赶紧给母亲打电话,母亲说让于悦回家,自己陪同她去家乡县医院就诊。
于悦的母亲是一名在外打工的中年妇女,40多岁的她和丈夫膝下只有一个女儿,一听女儿生病,甚至还便血,她再也无心工作,赶紧连夜买票坐火车从外地回到了家乡。

曲折的求诊之路
在母亲的陪同下,于悦到了家乡的县医院门诊部求诊。于悦的到来,让这个县城医院的医生们彻底摸不着头脑了:经过一系列的检查却仍查不出具体病因,这种情况他们前所未闻,只好建议于悦先住院观察,随后再进行治疗。
在县医院接受一个多月的治疗后,于悦的病非但没好反而更加严重了,大量的出血使得于悦昏迷不醒,县医院对此表示无能为力,建议他们转院治疗。

无奈之下,于悦的父母只好将于悦带到市人民医院就医,然而,市人民医院也无法确认病因。在经过4天的治疗后于悦身体出血的情况仍不见好,还出现了肺部感染的情况。
医院表示自己这里医疗水平有限,无法为于悦继续治疗,建议他们去省医院试试。

一家人开了四个小时的车终于到了一家实力雄厚的省级医院,做了一系列的检查后,医生初步确诊为肺炎,于是就按照肺炎的治疗方案对于悦进行了救治。
然而,令人遗憾的是,经过医生们9天的努力后,于悦的病情依然未见好转,身体出血依然严重。
于悦的主治医生无奈地对她父母说自己真的尽力了,但病人的情况仍旧危急,建议他们还是去北京的大医院碰碰运气,如果北京的医院都没有办法,那就只能放弃治疗准备后事了。

医生的话让人实属绝望,但只要还有最后一丝的希望就坚决不能放弃,毕竟自己唯一的女儿现在只有20岁啊!她的人生才刚刚开始怎么能够轻易结束呢?
于悦的父母不能眼睁睁地看着女儿一步步走向生命的尽头。
于是一家人连夜买票乘坐火车一路辗转,从吉林赶到了北京。

本以为来到北京的大医院就能得到治疗了,可残酷的现实却让一家人陷入了更加绝望的境地。
原来是来首都看病的人太多了,大医院的专家号特别难挂,于悦的父母根本挂不上号。
无奈之下夫妻俩只能半夜起来分别去排队,把所有能挂的号都挂了。

于悦的身体越来越痛,肚子止不住地胀疼,脚也肿起来了,稍稍多吃一点东西就会呕吐,看着女儿受到如此折磨,于悦的父母心疼地直掉眼泪。
夫妻俩排了6天的队,终于挂上号了。本以为挂上号就能住院治疗了,却被护士通知说他们医院现在暂时没有床位,要继续等待空余床位出现才能办理入住。

护士的话让于悦的父母几近崩溃,孩子病情危急,状况一天比一天糟糕,医院却说现在还不能医治,这可怎么办?难道当父母的只能眼睁睁地看着女儿被病魔夺走生命吗?
绝望之际,于悦的母亲黄慧突然想到自己可以向媒体求助,或许通过媒体的力量可以找到一家可以接收于悦的医院。

怀着一个忐忑不安的心,黄慧拨通了北京电视台的电话。北京电视台的一名记者在得知了黄慧的困境后,立马联系了在空军总医院工作的朋友,幸运的是空军总医院还有空余床位,他们可以接收于悦。

绝处逢生
在媒体的帮助下,于悦顺利入住了北京空军总医院呼吸内科。
经过系统的检查,医生发现她的情况实在是很危急,除了便血外,还存在着胸腔积液,肺部感染,持续高烧等情况,病情相当复杂,现在需要马上手术。
剖开腹部,医生发现于悦体内的十二指肠部位有一个一厘米左右的漏洞,这个漏洞也就是医学上讲的十二指肠穿孔。

经过医生的仔细缝合,于悦体内的漏洞终于被补上了,出血的问题得到了初步解决。这让于悦父母一直悬着的心放回了肚子里。
本以为解决完出血的问题后,手术就能很快地实施,然而令人意外的情况发生了。
第二天早上,空军总医院重症监护中心主任宁波就接到了于悦的情况再次异常的消息:

医生查房时发现于悦的身体又出血了,而且这次的出血量更大了,这是怎么回事呢?
昨天明明都缝合好了,当天检查时情况没有任何异常,医生对此也是非常震惊。
医生们用了很多止血方法都没有将血止住,这就表明于悦的消化道里现在还存在着大面积的出血部位,上次的十二指肠穿孔仅仅只个开始。

正在医生们奋力抢救的时候,于悦父母却做出了一个出人意料的决定:他们决定放弃治疗。
原来,于悦的家庭并不富裕,在到处给孩子看病的二十多天里,他们已经花费了二十多万,这已经是他们辛苦半辈子的全部积蓄了。
看着手中仅剩的8000元积蓄,再望向病床上已经奄奄一息的女儿,辛苦了一辈子的汉子忍不住留下来了眼泪。

眼看着于悦没有任何好转的迹象,于悦父母决定要她带回家!落叶要归根!他们想让所有的亲朋好友陪她走完最后一段时光!
于悦是一个爱美的女孩子,她的母亲专门为她买了一件漂亮的衬衣当作寿衣,她想着如果实在无力回天,一向爱美的女儿也可以穿着这件漂亮衬衣体面地离开。

得知于悦父母想要放弃治疗的想法后,在场的医护人员震惊了!
他们能理解于悦父母的心情,但是这个年仅20岁的花季少女不应该这么轻易地被放弃!
医院方面表示,费用方面先不用担心!他们可以联系媒体向广大群众寻求帮助,而院方则会拼尽全力救治于悦!

听完医生的话,夫妻俩流下了感激的泪水。他们想到素未谋面的医护人员竟愿意为了救治自己女儿而如此坚持,那作为于悦亲生父母的他们为何要这么轻易地放弃呢?
为了女儿,为了仍在坚持的医护人员,更是为了自己,夫妻俩决定再坚持一把。
于悦现在一天的便血量都有四五百毫升了,而且一天比一天严重,最严重的一天甚至高达2000多毫升,相当于她身体里将近1/3的血量都白白流失掉了。

针对于悦现阶段的情况,治疗团队展开了几番激烈的讨论,最终他们决定采用保守治疗的方法把血止住。因为病人已经做过一次手术了,第二次手术的难度就会比较大,保守治疗相对更安全。
而现在最要紧的,是先要查明于悦身体出血的位置和具体的出血原因。消化科主任魏学明决定先给于悦做一个肠镜来查明身体具体的出血位置。

肠镜是消化科医生用来检测肠道内部病变情况的常用仪器,当肠镜进入体内后,医生可以通过肠镜自带的摄像头来观察肠道里的状况。
由于魏医生对于悦消化道的情况并不了解,所以一旦操作不慎,就有可能危及于悦的性命。
因此,魏学明必须小心翼翼地用肠镜探测着于悦肠内的状况。他通过肠镜发现,于悦的肠道里面全部是血和很多血凝块儿,而仪器越接近小肠,血液就会变得越鲜红。

这就表示,身体出血位置大约分布在在小肠附近。
正常人的小肠大约有5米长,究竟是哪一段发生了病变呢?
小肠在腹腔里有序地排列着,即使内部产生了严重的病变,外观区别也不大,所以人的肉眼也很难看出具体的病变位置,如何寻找到具体的病变部位根本不是一件简单的事!

无奈之下,主刀医生魏学明只能根据小肠水肿的状况,来判断具体的病变部位到底分布在哪里。
在经过仔细地检查后,魏学明发现,有一段小肠的黏膜表面存在着连发的溃疡,虽然看着没有出血,但是这段黏膜非常糜烂,拿纱布轻轻一擦拭,它就渗出了血水。

根据多年手术经验,魏学明判定这段小肠就是病变部位,出血的位置就在这里,于是他进行了精准地切除,并赶快把那段切下来的小肠送到了病理科。
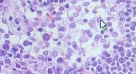
病理科医师刘涛将切下来的小肠做成了病理切片,在高倍显微镜的镜头里他竟发现了非常奇怪的组织。
刘涛发现在淋巴窦里面,可以看见有增生的组织细胞,而这些组织细胞,又存在了吞噬的现象,有吞噬淋巴细胞,红细胞,还有细胞碎屑的现象,那么有这么一个现象又能说明什么呢?

凭借着在病理科多年的工作经验,再结合着于悦高烧、腹痛、腹胀和腹泻的病史,刘涛断定,具有这种独特吞噬现象的病菌就是伤寒杆菌。

罪魁祸首:伤寒杆菌
我们常说的伤寒或者伤寒热就是由伤寒杆菌引起的。伤寒杆菌的生命力是比较强的,它在水中可存活二到三周,在粪便中也能生存一两个月。
在牛奶中它既能生存,还可以繁殖。但是,这种病菌非常害怕高温和光照,一旦处于高温和光照的环境,它就会被杀死。

伤寒的发病大约可分为四个周期,第一个周期为潜伏期,病人吃进去伤寒杆菌后会明显感到身体不适,但没有具体的症状。
第二周期为爆发期,也叫发病期,症状表现为高烧、腹痛、腹胀和腹泻。
这其实就是一系列的细菌感染,不过不仅只是肠道的感染,严重的情况下甚至还会造成其他系统的感染。发病期大约会持续一周到两周的时间。

第三个周期是相对缓和期,在病程第3—4周时病症会逐渐缓解,因为人的免疫力开始恢复了,病人的食欲会逐渐好转,腹胀得到改善,脾肿开始回缩。
但这时,会非常容易出现消化道穿孔,消化道出血的状况,于悦目前就处于伤寒的第三个周期。

第四个周期就是恢复期了,大约从病程的第4周末开始。这时候病人的体温会逐步恢复正常。食欲也渐渐好转,一般在1个月左右就能完全恢复健康。
可是,好好的人怎么突然会得伤寒呢?
究竟是什么原因导致于悦感染了伤寒杆菌呢?

医生开始询问于悦发病前都吃了些什么,从于悦母亲黄慧的回答中,医生得知于悦发病前曾和同学一起在长春的一家麻辣烫店用餐,这是她当天最后一次进食。
吃了那家的麻辣烫以后,于悦就出现了发烧、腹痛的现象。
于是,医生向于悦的母亲黄慧表示,他现在高度怀疑这一切的罪魁祸首就是那碗麻辣烫。

一碗麻辣烫就能让一个花季少女生命垂危吗?为什么当时吃麻辣烫的人那么多,就单单只有于悦发病了呢?于悦母亲黄慧真的不敢相信麻辣烫的威力竟有这么大。
看着一脸疑惑的黄慧,医生耐心给她解释说他认为于悦吃的那碗麻辣烫绝对不是普普通通的麻辣烫,它很可能是一碗不干净的麻辣烫或者没有完全煮熟的麻辣烫。
如果食材被污染或者没有煮熟,那么人就有可能将伤寒杆菌摄入体内,从而造成肠道感染和其他系统的一系列感染。

如果这个人的自身免疫力强,那么他就很可能不会出现症状,但是如果是有基础性疾病的人或者免疫力低的人将伤寒杆菌摄入体内,那么他就会出现伤寒的病症。
黄慧想起来自己的女儿平时就患有胃溃疡,发病前的胃肠功能就不是很好。
吃了有伤寒杆菌的麻辣烫,再加上那碗麻辣烫的辣度确实过于辛辣,对胃肠的刺激太大,所以才会引发肠胃穿孔。

终于,于悦的病因明确了。找到病因后,医生们展开了多次会诊,针对她的病症确定了一系列科学的治疗方案。
在医生的帮助和家人的悉心照顾下,于悦总算是脱离了生命危险,从重症病房转到了普通病房,情况开始渐渐地好转起来。
看着女儿的状态一天比一天好,于悦的父母的心里比谁都高兴。

经过两个多月的疗养后,于悦已经可以出院了,他们找到所有帮助过于悦的医护人员,向他们鞠躬表示万分的感谢。
于悦的母亲黄慧流着眼泪说医生们就是于悦的再生父母,没有他们的帮助和坚持,他们痛失唯一的孩子了。

结语:
在空军总医院医护人员们坚持不懈的努力下,于悦的生命终于得以挽回,可如果当初没有摄入那碗“罪恶的麻辣烫”,于悦也不会遇到如此险恶的病情。
所以,在平时生活中,大家一定要注意养成健康的饮食习惯,不吃任何不卫生的食物,在烹饪食材时一定要记得将食材完全做熟。
尽量做到不吃生冷和过于辛辣的食物,以避免对肠胃造成恶性刺激,影响身体健康。如果身体出现不适,一定要及时就医,不要想着往后拖延,以免造成病情的进一步恶化。
标签:
