极其罕见!南昌25岁女子怀9胞胎:又惊又喜,没想到一下就怀了9个
极其罕见!南昌25岁女子怀9胞胎:又惊又喜,没想到一下就怀了9个

文|十八停
编辑|十八停
你见过一次能怀上9胞胎的孕妇吗?在医学界,产妇能够怀上双胞胎的概率极小。
而九胞胎更是罕见,别说正常人,可能就连多年从事妇产科的医生都没见过。
但江西南昌,一位25岁的孕妇侯女士,却一下就怀上了九胞胎......

不易受孕体质
“又惊又喜,之前我一直都怀不上,没想到这次能怀上9胞胎,心情还是挺激动的!”
侯女士称自己先前是难受孕体质,她和丈夫都很喜欢孩子,结婚没多久,就开始为备孕做努力。
但这一年中,不管两人怎么努力,都无济于事,每月的例假总是准时来,这让两人非常挫败。

侯女士平常也会了解备孕的知识,自己这个年纪受孕的黄金时期,但怎么也怀不上让她总是焦虑。
她在网上查询到,受孕需要一些条件,如果男方的质量不好,会导致受孕困难,而女方如果有什么妇科病,也会出现受孕困难的现象。
了解到大致原因后,她拉着丈夫前往医院做了全面的检查,好消息是,从丈夫检查结果一点问题都没有。

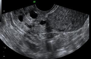
但坏消息是,问题出在了侯女士身上,医生指着B超上的几处阴影表示,侯女士子宫内有好几个囊肿,而且她的子宫内膜上,还长出了一些息肉,这也是她难以受孕的原因。
不过,这并不是先天的不孕不育问题,如果是先天的问题,那么治疗手段可能没法奏效,即便尝试试管,可能也没法一次怀上。
而侯女士只是长了囊肿,对于妇科医生来说,这并不算大事,十个女性中,有小一半的人都会出现这个问题。

自主受孕困难,但只要好好调理、借助医疗手段,怀孕的希望还是有的。
得知自己出了问题之后,侯女士有些恐慌,她很喜欢孩子,一直想着生一个像自己的可爱宝宝。

信息来源:中安在线
听到自己不易受孕,她不禁联想到,以后都没有机会生育自己的孩子,一下就恐慌了起来。
见妻子这样,一旁的丈夫则宽慰道:医生说了不是大问题,现在应该是按医生的建议调理身体,不用过于担心。

一怀就是九胞胎
情绪平稳之后,侯女士决定听从医生的嘱咐,尝试借助医疗的技术备孕,调理一段时间后,她接受了促进排卵的药物注射。
在接受治疗前,她其实对备孕成功没有那么大的信心,毕竟先前已经做了很多努力,医疗只是辅助,身体基础好,才能保证又快又见效。
侯女士和丈夫都做好了打算,最坏的结局就是怀不上,好一点的话,3-5年,他们也是等得起的。

信息来源:南昌晚报
但没想到,2024年10月打的排卵针,月底就怀上了,这速度远远超过了预期,刚怀孕那阵,夫妻俩尤为高兴,每天晚上都要畅聊宝宝的出生后事项。
不过,在喜悦的同时,侯女士和丈夫也收获了一个极为震惊的消息。
11月5日,在丈夫的陪伴下,她来到了医院做彩超,想看一看小家伙们的状态都怎么样了。

做完彩超后,她看到了医生讶异的神情,而她在看完彩超片子后,呆愣在了原地。
医生称侯女士的子宫里面有8个孕囊,初步断定她怀的是八胞胎,侯女士还没能从这个巨大的冲击中缓过来。
浑浑噩噩的就回到了家中,6天后,她担心医生是看走眼误诊了,便再次前往医院做了孕检。

事实证明,医生确实“看走眼了”,她怀上的实际是9胞胎,这次不仅能够看到子宫内9个紧紧依偎的孕囊,还能看到胚胎的心管一下一下的搏动。
侯女士又激动又担忧,之前一直没怀上,这下一怀就是9胞胎,一时间,实在是很难从这种巨大的转变中缓和出来。

丈夫得知是9胞胎后,也有些愣神,但随后他就开始担心妻子能不能吃得消,不断是安慰妻子,平稳对方的心情。
夫妻俩冷静下来之后,商量了一番,决定下一步还是听医生的建议,看看怎么去保胎,毕竟事情已经发生,说什么都不重要了,最重要的还是要找到一个合适的解决方法。

信息来源:康乐县融媒体中心
9胞胎,超低概率
一次怀上9胞胎的消息,在媒体的加持下,一下冲到了热点榜单,网友得知后尤为震惊。
要知道,怀孕生子很常见,不是什么罕见的事情,但怀多胞胎可太少见了,每89个产妇中,可能只有一个能怀上双胞胎。
而胚胎越多,怀上的概率就越小,三胞胎在医学界的概率更小,10000人中,可能只有一个三胞胎孕妇,九胞胎更是闻所未闻。

不少网友在评论区展开了激烈的探讨,一些人觉得能怀上9胞胎是一种福气,不多不少刚好是9。
现在多的有人想生这么多,但奈何一次只能生一个,按照普通产妇的速度,9个孩子估计得生十来年。
而侯女士这一下就能生9个,只能用一个“遥遥领先”来形容。

不过,也有网友觉得,9个孩子实在是太多了,产妇照顾孩子的时候很容易就“走火入魔”了。
试想一下,9个孩子也意味着照顾孩子的时候,一件重复的事情就要做9次,比如给孩子换尿不湿、洗澡、喂奶。
不少网友直言,这么多孩子,照顾起来,绝对是个挑战,半夜孩子饿了,喂奶都要一个一个喂,可能刚喂到最后一个,第一个孩子又饿了。

信息来源:光明网
专业网友表示,最后生产的时候,肯定不会是9胞胎,医生应该会建议减胎。
毕竟胚胎毕竟多,母体能不能提供足够的营养不说,双胞胎的产妇,上月份之后肚子就大的可怕,这九胞胎根本无法想象。
产妇的肚子又不是橡胶,即便是气球,吹太多气也会爆炸,再者来说,真一个都不减的话,完全不可能平安无事的生下来。

总的来说,九胞胎罕见还是有原因的,毕竟一个正常人根本无法一次性诞下9个胎儿。
建议侯女士尽早做减胎比较好,毕竟多胞胎的产妇月份越大,就越会威胁到生命安全。
参考资料:
1.光明网:《罕见!江西25岁女子怀上九胞胎!》2024-11-13
2.齐鲁壹点:《罕见!江西南昌一女子怀上九胞胎齐鲁壹点》2024-11-13
3.中安在线:《罕见!江西25岁女子怀上九胞胎,此前因不易孕注射促排备孕》2024-11-13
4.康乐县融媒体中心:《罕见!江西25岁女子怀上九胞胎,此前因不易孕注射促排备孕》2024-11-13
喜欢本期节目,请您点击“关注”,不错过下期分享。
[免责声明]文章内容、图片来源于网络,此文旨在倡导社会正能量,无低俗等不良引导。如涉及版权或者人物侵权问题,请及时联系,我们将第一时间删除内容!如有事件存疑部分,联系后即刻删除或作出更改!
标签:
